Hyper Insight™CTA ANEURYSM*
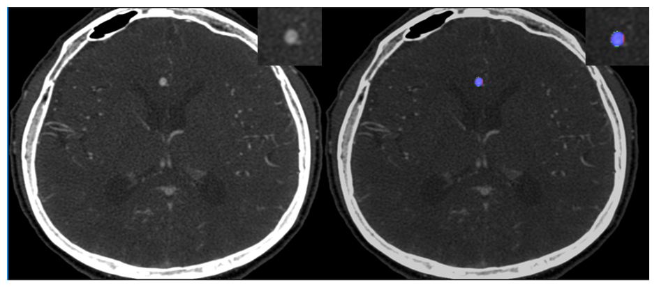
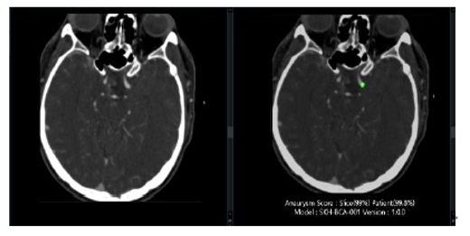
AI-powered diagnostic support for early, accurate detection and localization of unruptured intracranial aneurysms on CTA, with precise identification of size and shape, including lesions smaller than 3 mm.


Non-radiologist
*P-value: <0.0001
Radiologists
*P-value: 0.0004
Neuroradiologists
*P-value: 0.0299
| Size (mm) | AI (A) | Human (C) | Difference (A-C) |
|---|---|---|---|
| < 3 | 75% | 57% | 18%p |
| 3~5 | 84% | 66% | 18%p |
| 5~10 | 92% | 84% | 8%p |
| >= 10 | 100% | 99% | 1%p |
Worklist Prioritization
Urgent cases are automatically highlighted and sorted by severity.
Efficiency Boost
Frees attention to the highest-risk cases first. Delivers AI-supported findings within seconds.
Automated Analysis
Detects and localizes unruptured cerebral aneurysms using deep learning. Marks aneurysm locations, outlines, and diameter ranges on CTA images.
PACS Integration
Connects seamlessly with existing hospital imaging systems.
- *
Approved by Korea's Ministry of Food and Drug Safety (MFDS). Not cleared or approved by the US Food and Drug Administration (FDA). This software is not for clinical use in the United States and is provided for research, evaluation, and educational purposes only.