Hyper Insight™LVO & ASPECTS*
AI-powered diagnostic support for rapid, accurate detection and localization of acute ischemic stroke on non-contrast CT, providing ROI visualization, ASPECTS scoring, and comprehensive AIS assessment with probability-based, real-time alerts for LVO, MeVO, and SVO detection, along with automated report generation.

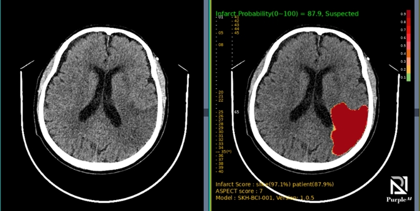
Medical Insight+ BRAIN INFARCT

Precise AI Detection
Automatically highlights suspicious regions, assigns probability scores for the likelihood of infarction, and alerts clinicians in real time.
Intuitive Reporting
Generates clear, easy-to-read summary reports for rapid clinical review.
Worklist Prioritization
Urgent cases are automatically highlighted and sorted by severity.
Golden Time Advantage
Faster time-to-review for time-critical cases.
Efficiency Boost
Frees attention to the highest-risk cases first. Delivers AI-supported findings within seconds.
Automated Analysis
Detects and localizes suspected infarct regions using deep learning. Marks suspected areas and provides a probability scoring directly on CT image
PACS Integration
Connects seamlessly with existing hospital imaging systems.
- *
Approved by Korea's Ministry of Food and Drug Safety (MFDS). ASPECTS scoring and reporting features are currently under additional MFDS review. Not cleared or approved by the US Food and Drug Administration (FDA). This software is not for clinical use in the United States and is provided for research, evaluation, and educational purposes only.